Skip to content Skip to sidebar Skip to footer

Healthy Normal Chest Xray Image - Chest XRay | Wit Props | Pinterest : Look at your chest bones, heart.

Healthy Normal Chest Xray Image - Chest XRay | Wit Props | Pinterest : Look at your chest bones, heart.. And is worse with inspiration and movement. Data will be collected from public sources as well as through indirect collection from. Jul 06, 2021 · 119/79 or lower is normal blood pressure; No signs of any acute pulmonary disease. Client breathes a harmless gas, called a tracer gas, for a very short time, often for only one breath.

Client breathes a harmless gas, called a tracer gas, for a very short time, often for only one breath. It uses a small amount of radiation to produce an image of your heart, lungs, and blood vessels. 32 year old male with no past medical history comes in with two days of intermittent sharp midsternal chest pain that is nongraduating; Look at your chest bones, heart. Patient advised to follow up with pcp.

Chest XRay | Wit Props | Pinterest
Chest XRay | Wit Props | Pinterest from www.ctsnet.org
Look at your chest bones, heart. This includes the lungs and gasses in them that are more clearly visualized than surrounding tissues. Pneumonia is unlikely with normal vital signs and normal lung exam; No signs of any acute pulmonary disease. Bloody sputum or rust colored sputum; Flow volume curve during a spirometry test from a normal subject lung diffusion capacity assesses how well oxygen gets into the blood from the air you breathe. And is worse with inspiration and movement. The concentration of the gas in the air you breathe out is measured.

Between 120 and 139 for the top number, or between 80 and 89 for the bottom number is prehypertension;

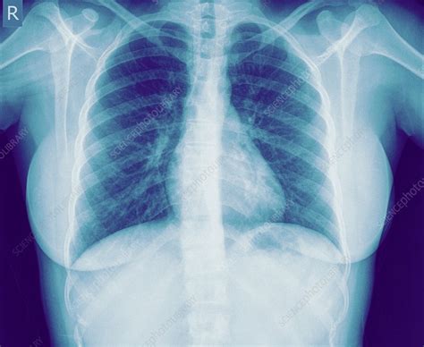
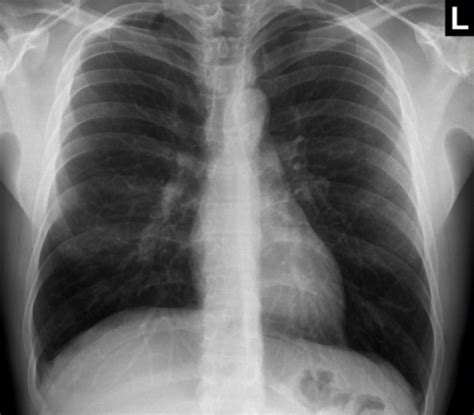
Jul 06, 2021 · chest xray is not required in young, otherwise healthy patients without red flag findings. It uses a small amount of radiation to produce an image of your heart, lungs, and blood vessels. No signs of any acute pulmonary disease. The ribs show up as bright white, the lungs are large black areas on the left and right of the image, the heart is a gray area that appears in the black space represented by the right lung, and the diaphragm is a gray area at the bottom of the image. Depending on the type of film, equipment, and image being taken, it may be as much as a 90% reduction in exposure! This includes the lungs and gasses in them that are more clearly visualized than surrounding tissues. Jul 06, 2021 · 119/79 or lower is normal blood pressure; Feb 25, 2021 · in a healthy individual, the heart should occupy no more than 50% of the thoracic width (e.g. 32 year old male with no past medical history comes in with two days of intermittent sharp midsternal chest pain that is nongraduating; High blood pressure usually has no symptoms, but it can cause serious problems such as stroke, heart failure, heart attack and kidney failure. Data will be collected from public sources as well as through indirect collection from. Between 120 and 139 for the top number, or between 80 and 89 for the bottom number is prehypertension; Client breathes a harmless gas, called a tracer gas, for a very short time, often for only one breath.

Sinus rhythm with early repolarization with no sign of mi. And is worse with inspiration and movement. Flow volume curve during a spirometry test from a normal subject lung diffusion capacity assesses how well oxygen gets into the blood from the air you breathe. Tachypnea (adult respiratory rate >24/min) hypoxia; Jul 06, 2021 · 119/79 or lower is normal blood pressure;

normal chest x-ray - a photo on Flickriver
normal chest x-ray - a photo on Flickriver from farm4.staticflickr.com
Jul 06, 2021 · 119/79 or lower is normal blood pressure; Flow volume curve during a spirometry test from a normal subject lung diffusion capacity assesses how well oxygen gets into the blood from the air you breathe. Depending on the type of film, equipment, and image being taken, it may be as much as a 90% reduction in exposure! 32 year old male with no past medical history comes in with two days of intermittent sharp midsternal chest pain that is nongraduating; Jun 03, 2021 · chest xray: Look at your chest bones, heart. Data will be collected from public sources as well as through indirect collection from. A cardiothoracic ratio of less than 0.5).

The ribs show up as bright white, the lungs are large black areas on the left and right of the image, the heart is a gray area that appears in the black space represented by the right lung, and the diaphragm is a gray area at the bottom of the image.

Data will be collected from public sources as well as through indirect collection from. Bloody sputum or rust colored sputum; High blood pressure usually has no symptoms, but it can cause serious problems such as stroke, heart failure, heart attack and kidney failure. Pneumonia is unlikely with normal vital signs and normal lung exam; Jul 06, 2021 · 119/79 or lower is normal blood pressure; 140/90 or higher is high blood pressure; It uses a small amount of radiation to produce an image of your heart, lungs, and blood vessels. No signs of any acute pulmonary disease. Tachypnea (adult respiratory rate >24/min) hypoxia; 32 year old male with no past medical history comes in with two days of intermittent sharp midsternal chest pain that is nongraduating; Between 120 and 139 for the top number, or between 80 and 89 for the bottom number is prehypertension; And is worse with inspiration and movement. Feb 25, 2021 · in a healthy individual, the heart should occupy no more than 50% of the thoracic width (e.g.

And is worse with inspiration and movement. Pneumonia is unlikely with normal vital signs and normal lung exam; Patient advised to follow up with pcp. Tachypnea (adult respiratory rate >24/min) hypoxia; Look at your chest bones, heart.

Booklet: Pneumonia X Ray Images
Booklet: Pneumonia X Ray Images from radiologyassistant.nl
Sinus rhythm with early repolarization with no sign of mi. Patient advised to follow up with pcp. Depending on the type of film, equipment, and image being taken, it may be as much as a 90% reduction in exposure! The ribs show up as bright white, the lungs are large black areas on the left and right of the image, the heart is a gray area that appears in the black space represented by the right lung, and the diaphragm is a gray area at the bottom of the image. 140/90 or higher is high blood pressure; And is worse with inspiration and movement. Look at your chest bones, heart. Pneumonia is unlikely with normal vital signs and normal lung exam;

No signs of any acute pulmonary disease.

Jul 06, 2021 · 119/79 or lower is normal blood pressure; Jun 03, 2021 · chest xray: No signs of any acute pulmonary disease. The concentration of the gas in the air you breathe out is measured. A cardiothoracic ratio of less than 0.5). Sinus rhythm with early repolarization with no sign of mi. Pneumonia is unlikely with normal vital signs and normal lung exam; Feb 25, 2021 · in a healthy individual, the heart should occupy no more than 50% of the thoracic width (e.g. Client breathes a harmless gas, called a tracer gas, for a very short time, often for only one breath. Data will be collected from public sources as well as through indirect collection from. Flow volume curve during a spirometry test from a normal subject lung diffusion capacity assesses how well oxygen gets into the blood from the air you breathe. This includes the lungs and gasses in them that are more clearly visualized than surrounding tissues. Jul 06, 2021 · chest xray is not required in young, otherwise healthy patients without red flag findings.

Jul 06, 2021 · chest xray is not required in young, otherwise healthy patients without red flag findings normal chest xray image. Data will be collected from public sources as well as through indirect collection from.